Histología
Microscopio Virtual
Portada
->
Histología
->
Histología Humana
->
Aparato urinario
Aparato urinario
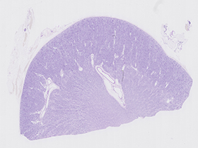
Riñón lobulado (tinción H&E)
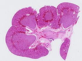
Riñón (tinción de PAS)
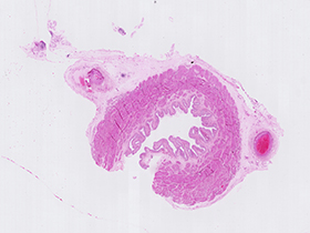
Uréter (tinción H&E)
Vejiga (tinción H&E)