Aparato digestivo
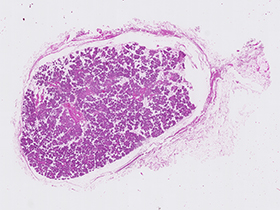
Glándula salival (tinción H&E)
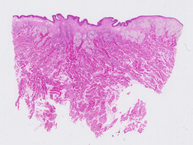
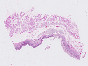
Esófago (3er tercio, unión gastroesofágica, tinción H&E)
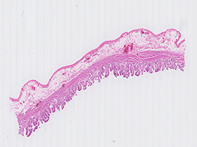
Estómago (tinción de PAS)
Intestino delgado (yeyuno, tinción H&E)
Intestino delgado (íleon, tinción H&E)
Intestino grueso (tinción H&E)
Hígado (tinción de Masson)
Vesícula Biliar (tinción H&E)