Aparato reproductor femenino
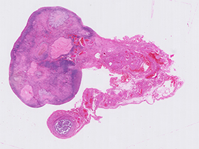
Ovario infantil + trompa de falopio (tinción H&E)
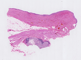
Ovario adulto + trompa de falopio (cuerpo lútelo, cuerpo albicans; tinción H&E)
Endometrio secretor (tinción H&E)
Endometrio prolidefratico (tinción H&E)
Cuello uterino (tinción H&E)
Mama en reposo (tinción H&E)
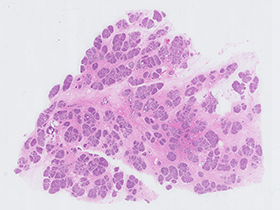
Mama lactante (tinción H&E)
Cordón umbilical (tinción H&E)