Histología
Microscopio Virtual
Portada
->
Histología
->
Histología Humana
->
Sistema tegumentario
Sistema tegumentario
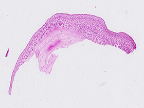
Piel fina (tinción H&E)
Piel gruesa (tinción H&E)
Piel gruesa (tinción de Masson)
Uña y huella digital con receptores de Meisner
Folículo piloso (tinción H&E)